I posted a file
2420-Lab 4- Bacterial Staining Techniques-III-(Differential)
Directions:Answer following questions after reading the information and watching the video from the link below. Use color RED for your answers. Submit the completed document on eCampus for grading. Refer to
the textbook Openstax Microbiology Chapter 2
Link: Bacterial Staining Techniques-III, Virtual Edge Experiment-11
This document has 24 questions to answer.
Students MUST use scientific terminology while answering all questions
For each wrong answer 0.5 points will be deducted
Watch the video of Endospore Staining, from textbook from chapter 3 review sections 3.2 (page 55), 3.7 (pages 76-77) to answer the following questions.
Actively growing bacterial cultures are not used for this experiment. Instead, cultures more than a week old are used. After a week, most nutrients are used up by bacteria, growth creates accumulation of waste products and less space, overall creating “unfavorable” conditions. Under such conditions, bacteria capable of producing endospores produce them to save their species.
What are bacterial endospores?
Do all bacteria produce endospores?
Under what conditions bacterial endospores are produced?
Is sporulation a way of reproduction for bacteria?
What is germination of endospores and how does it start?
Can bacterial endospores be destroyed? How?
Why bacteria that are capable of producing endospores important in canning and health industry?
Name 1 bacterium that could be used easily in lab for this experiment.
The process of endospore staining differentiates between vegetative cells and endospores. True or False
What is the primary stain used in the endospore staining experiment?
Why is it necessary to steam the slide with smear while adding the primary stain?
Which counterstain is used in endospore staining?
Which stain is retained by the endospores in this procedure?
What stain is retained by the bacterial cells in this procedure?
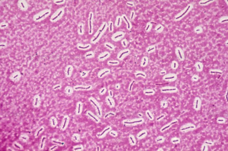
Observe the following picture and point out bacterial endospores.

The main purpose of capsule stain is to distinguish chemical composition of capsule from the bacterial cell. A capsule is a gelatinous outer layer secreted by bacterial cells and that surrounds and adheres to the cell wall. Most capsules are composed of polysaccharides, but some are composed of polypeptides. The capsule differs from the slime layer that some bacterial cells produce in that it is a thick, detectable, discrete layer outside the cell wall. The capsule stain uses an acidic stain and a basic stain to detect capsule production.
Watch the video from the link Capsule staining, read from the textbook chapter 3- section 3.2 (page55) and section 3.6 (page 72) to answer the following questions.
Mneomonics to remember capsulated bacteriaSome Killers Have Pretty Nice Capsule
Streptococcus pneumonia (commonly called Pneumococcus known to cause pneumonia, ear infections, sinus infections, meningitis, bacteremia)
Klebsiella pneumonia (known to cause pneumonia, wound infections- surgical site infections, meningitis, bacteremia)
Haemophilus influenza (known to cause pneumonia, meningitis, bacteremia, ear-throat infections, cellulitis, infectious arthritis)
Pseudomonas aeruginosa (known to cause pneumonia, wound infections- surgical site infections, bacteremia)
Neisseria meningitides (known to cause menigicoccal disease)
Cryptococcus neoformans (a fungus known to have a capsule)
What is the function of bacterial capsule?
Do all bacteria produce capsule?
What is the biochemical component that makes the bacterial capsule?
How does human immune system treat un-encapsulated bacteria?
Why does this procedure not involve “heat fixing” step?
Which stain was used in this process?
Which stain was retained by the cells?
Which stain was retained by the capsule?
From the following picture, point out or describe the capsule:
