Mandatory Discussion Question

Mandatory Discussion Question 1

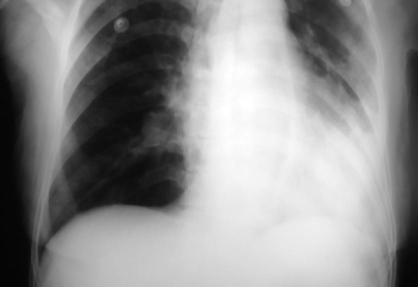
Discussion Question Resource: Chest X-Ray


Mandatory Discussion Question 2

© 2013. Grand Canyon University. All Rights Reserved.